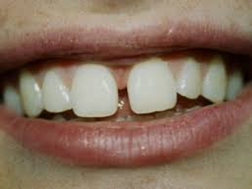
The December 2018 issue of the American Journal of Orthodontics and Dentofacial Orthopedics reports on an 8-year-old boy in Greece who had a gap between his two permanent front teeth. According to that article, his parents did not consult an orthodontist. Instead, taking matters into their own hands, they used a tiny rubber band to pull their son’s teeth together. The gap was gone after two days, but so was the rubber band. The parents assumed it broke. They were happy with the outcome and unconcerned about the rubber band.
One little rubber band caused extensive damage.
On the surface the DIY treatment seemed to be a quick, easy and inexpensive approach to close a gap. Unfortunately, the DIY treatment resulted a long-term, difficult and costly fix. One little rubber band caused extensive damage. It worked its way up the teeth and under the gums and destroyed the tissues that hold the teeth in place. The rubber band in effect pushed the two front teeth out of the gums and bone. The teeth were loose and looked longer (think Bugs Bunny). In addition, the patient experienced pain and swelling in the gum tissue around those teeth.
The youngster visited the pediatric dentistry department of the Dental School of the National and Kapodistrian University of Athens. After his teeth were stabilized with a wire, his next stop was the school’s department of periodontology. He was diagnosed with acute, severe gum disease. X-rays showed more than 75% of the bone that held the boy’s teeth in place was lost. But why? The rest of the teeth and gums were healthy. After three weeks of no improvement, gum surgery finally revealed the culprit: the missing rubber band. The boy’s next stop for treatment was the school’s department of orthodontics.
Sadly, even with professional help, the boy’s two front teeth could not be saved.
But this story has a happy ending. Thanks to the high quality of care provided by the team of dental specialists, including orthodontists, pediatric dentists, periodontists, and dentists specialized in operative dentistry, the youngster sports a healthy and beautiful smile today.
How they did it.
Tooth movement came first. Orthodontists moved the lateral incisors (the teeth next to the front teeth) forward to take the places of the front teeth. The remaining upper teeth moved forward, too. Once in position, the new front teeth were built up so that they looked like front teeth. As well, the pointy canine teeth were re-shaped to look like lateral incisors. And the first premolars were modified so that they would look like the canines.
Most people would never guess what it took to give the patient good function and a natural appearance. Truly, his smile is a testament to the science and artistry of those on his care team.
One small rubber band – multiple complications.
It took three years and nine months of treatment to repair the damage caused by an elastic band that well-meaning parents had their son use to close a gap between his front teeth.
Advice from the experts – see an orthodontist.
One of the article’s co-authors, Dr. Ross Brenner, says, “Patients and parents should know use of an elastic gap band to close a space between two teeth may result in severe periodontal destruction and eventual tooth loss. Prior to any tooth movement, patients are urged to see an orthodontist to find out their best plan.”
This blog was originally published on the consumer website of the American Association of Orthodontists where a link to the article and its accompanying photos is also
available:
When you choose an orthodontist for orthodontic treatment, you can be assured that you have selected a highly skilled specialist. Orthodontists are experts in orthodontics and dentofacial orthopedics – proper alignment of teeth and jaws – and possess the skills and experience to give you your best smile.
